Dental Fillings in South Lincoln, NE

Restore damaged teeth with precision-placed fillings designed to blend naturally while providing long-lasting protection

Conservative Tooth Restoration

When tooth decay threatens your smile, prompt treatment prevents further damage and preserves your natural teeth. Many people delay addressing cavities due to fear or uncertainty, allowing decay to spread deeper into tooth structure and potentially requiring more extensive procedures like root canals. Small cavities caught early can be treated conservatively with dental fillings that stop decay progression and restore normal tooth function.

At Pauley Family Dentistry, our restorative dentists provide comprehensive dental fillings in Lincoln, NE using modern materials and precise techniques. Dr. Pauley’s meticulous approach ensures each restoration removes only affected tooth structure while preserving as much healthy tooth as possible. Whether you need tooth-colored fillings for a visible tooth or are concerned about tooth sensitivity, we’ll help you maintain good oral hygiene and protect your smile from further decay.

Dental fillings restore teeth damaged by tooth decay, providing both structural support and protection against future cavities. The dental filling procedure involves removing decayed portions of the affected tooth, then filling the prepared space with dental filling material that bonds to remaining tooth structure. This treatment stops decay progression while restoring your tooth’s shape, strength, and function.

Without treatment, cavities continue expanding through tooth enamel into deeper layers, eventually reaching the pulp where nerves and blood vessels reside. According to the Centers for Disease Control and Prevention, 46% of children ages 2-19 have experienced dental caries in primary or permanent teeth, demonstrating how common this issue is across all age groups. Early intervention with cavity fillings prevents the need for more complex treatments and helps you maintain your natural teeth throughout life.

Modern dental filling materials have evolved significantly, offering superior aesthetics and durability compared to older options. The choice of filling material depends on several factors including cavity location, size, your bite force, aesthetic concerns, and personal preferences. During your examination, Dr. Pauley will discuss which dental filling material best suits your specific situation.

The Dental Filling Procedure

Your dental filling procedure begins with a thorough examination and X-rays to assess the extent of tooth decay. Dr. Pauley carefully evaluates the decayed tooth to determine the appropriate filling material and treatment approach. Local anesthesia ensures your comfort throughout the procedure, numbing the affected tooth and surrounding tissues completely.

Once anesthesia takes effect, Dr. Pauley removes all decayed portions of tooth structure using precision instruments. This step is critical, as any remaining decay will continue spreading beneath the filling. The cavity is then shaped and cleaned to prepare for the dental filling material. For composite fillings, the tooth surface is etched with a mild acid solution that creates tiny pores for better bonding.

The filling material is carefully placed in layers, with each layer shaped and hardened before adding the next. This meticulous technique ensures proper adaptation to cavity walls and optimal strength. After placement, Dr. Pauley adjusts the filling height to match your natural bite, ensuring comfortable chewing without interference. Final polishing smooths the restoration and creates a natural texture.

Types of Dental Fillings

Composite Resin Fillings

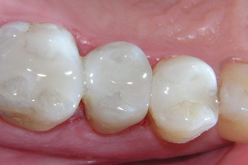
Composite resin fillings represent the most popular choice for treating cavities in visible areas. These tooth-colored fillings consist of plastic resin mixed with fine glass particles, creating restorations that match your natural tooth color precisely. The composite material bonds chemically to tooth structure, providing excellent strength while requiring less tooth structure removal during preparation compared to traditional options.

Tooth-colored composite resin offers several advantages beyond aesthetics. The bonding process creates a tight seal that prevents bacteria from entering and causing further decay. These composite fillings can repair small to moderate cavities, fix chipped teeth, close gaps between teeth, and even reshape misshapen teeth. The material hardens immediately under special curing light, allowing you to use the restored tooth normally right away.

Composite resin fillings require meticulous placement technique to achieve optimal results. Dr. Pauley applies the material in layers, carefully shaping each layer before curing it with light. This layering technique creates strong, durable restorations that withstand normal chewing forces. The final restoration is polished to match the texture and sheen of your surrounding natural teeth.

Amalgam Fillings

Amalgam fillings, also called silver fillings or metal fillings, have served dentistry for over 150 years. Dental amalgam consists of mercury mixed with silver, tin, copper, and sometimes zinc, creating an extremely durable filling material. These fillings work particularly well for back teeth that endure significant chewing pressure, as amalgam resists wear exceptionally well.

The strength of amalgam fillings makes them ideal for large cavities in molars where chewing forces are greatest. Unlike composite resin, amalgam doesn’t bond chemically to tooth structure but rather locks mechanically into the prepared cavity. This requires creating undercuts in the tooth preparation, which means removing slightly more tooth structure than composite fillings require.

While amalgam fillings don’t match natural tooth color, their silver appearance is less noticeable in back teeth. Many patients choose amalgam for posterior teeth due to their proven longevity and lower cost compared to tooth-colored alternatives. These restorations can last 15 years or longer with proper care, making them an economical choice for restorative dentistry needs.

Glass Ionomer Fillings

Glass ionomer fillings release fluoride over time, helping protect the affected tooth from further decay. These filling materials bond chemically to tooth structure and work well for cavities near the gum line or in areas not subjected to heavy chewing pressure. Dentists often use glass ionomer for children’s primary teeth or as temporary fillings while waiting for permanent restorations.

The fluoride-releasing property provides ongoing protection, particularly beneficial for patients with high cavity risk or those struggling to maintain good oral hygiene. However, glass ionomer is less durable than composite resin fillings or amalgam fillings, making it unsuitable for biting surfaces of back teeth. The material also lacks the aesthetic appeal of composite resin, appearing more opaque and less natural.

Tooth-Colored Fillings vs. Metal Fillings

When choosing between tooth-colored fillings and metal fillings, several factors influence the decision. Composite resin fillings provide superior aesthetics, making them the preferred choice for front teeth and visible areas. These tooth-colored composite resin fillings bond directly to tooth structure, creating a seal that helps prevent further decay around the restoration. They also require removing less tooth structure during cavity preparation.

Metal fillings, primarily amalgam, offer exceptional durability and longevity, particularly in back teeth subjected to heavy chewing forces. While their silver appearance is less attractive, their strength makes them excellent for large cavities in molars. Amalgam fillings also typically cost less than composite resin alternatives, making them an economical option for patients with budget concerns.

Dr. Pauley discusses both options with patients, explaining the advantages and limitations of each filling material. For many patients, the choice depends on cavity location—tooth-colored fillings for visible teeth and the option of either type for back teeth. Some patients prefer tooth-colored fillings throughout their mouth for a more natural appearance, while others prioritize the proven durability of amalgam for posterior teeth.

Preventing Further Decay

After receiving dental fillings, protecting your restoration and preventing new cavities requires consistent home care. Maintain good oral hygiene by brushing twice daily with fluoride toothpaste and flossing between all teeth once daily. These habits remove plaque bacteria that cause tooth decay, protecting both natural teeth and filled teeth from further damage.

Regular dental checkups allow Dr. Pauley to monitor your fillings and identify any problems early. Professional cleanings remove hardened tartar that brushing and flossing cannot eliminate, particularly around restoration margins where bacteria tend to accumulate. These preventive visits also include examinations that detect new cavities while they’re still small and easy to treat with conservative cavity fillings.

Your diet significantly impacts cavity risk. Limiting sugary and acidic foods reduces the fuel bacteria use to produce tooth-damaging acids. When you do consume these foods, brush soon afterward or at least rinse with water. Drinking fluoridated water strengthens tooth enamel, making teeth more resistant to decay. If you experience persistent tooth sensitivity or notice changes in your fillings, contact our Lincoln, NE dental office promptly.

Caring for Dental Fillings

Dental fillings require the same daily care as natural teeth. Brush all tooth surfaces thoroughly twice daily, paying particular attention to areas around fillings where decay can develop if plaque accumulates. Use gentle circular motions rather than aggressive scrubbing, which can damage both enamel and restoration margins. Fluoride toothpaste strengthens enamel and helps prevent cavities around existing fillings.

Flossing removes plaque and food particles from between teeth where toothbrush bristles cannot reach. Slide floss gently between teeth and curve it around each tooth in a C-shape, cleaning beneath the gum line. Take care not to snap floss forcefully, which could dislodge fillings or damage gum tissue. If you have difficulty with traditional floss, consider using floss picks or water flossers.

Avoid habits that stress dental fillings unnecessarily. Don’t chew ice, hard candy, or other extremely hard substances that can crack composite resin fillings or amalgam fillings. Using teeth to open packages or bite fingernails creates excessive force that damages both natural tooth structure and restorations. If you grind your teeth at night, discuss obtaining a nightguard to protect your teeth and fillings from bruxism damage.

When Fillings Need Replacement

Dental fillings don’t last forever and eventually require replacement. Composite resin fillings typically last 7-12 years, while amalgam fillings often serve 15 years or longer before needing replacement. However, individual factors including cavity size, bite forces, grinding habits, and oral hygiene affect filling longevity significantly.

Signs that a filling needs replacement include visible cracks, rough or uneven edges, dark areas around filling margins indicating new decay, or sensitivity when biting. Sometimes fillings fail gradually without obvious symptoms, which is why regular dental checkups are essential. Dr. Pauley examines all existing fillings during preventive visits, identifying problems before they cause pain or require emergency treatment.

When a filling fails, Dr. Pauley removes it along with any new decay, then places a new restoration. If significant tooth structure was lost due to large cavities or filling failure, a dental crown might provide better long-term protection than another filling. This conservative approach preserves teeth whenever possible while ensuring adequate strength and protection.

Addressing Common Concerns

Many patients worry about sensitivity after receiving dental fillings. Mild tooth sensitivity to temperature or pressure is normal for a few days following the dental filling procedure as the tooth adjusts to the restoration. This discomfort typically resolves within one to two weeks. If sensitivity persists beyond this period or intensifies, contact our office for evaluation, as this might indicate bite adjustment needs or other issues.

Some people express concern about amalgam safety due to mercury content. Multiple authoritative organizations including the American Dental Association and FDA have concluded that dental amalgam is safe for adults and children over age six. The mercury in amalgam binds with other metals, creating a stable compound that doesn’t release significant mercury vapor under normal conditions. However, patients who prefer avoiding amalgam can choose tooth-colored alternatives.

The cost of dental fillings varies based on filling material, cavity size, and tooth location. Tooth-colored composite resin fillings typically cost more than amalgam fillings due to material expense and the additional time required for precise placement. Most dental insurance plans cover fillings, though coverage levels vary. Our team helps maximize your benefits and explains all costs before beginning treatment.

Schedule Your Dental Filling Appointment

Don’t let tooth decay progress when conservative treatment can preserve your natural tooth structure. Whether you need cavity fillings for a decayed tooth or want to replace old metal fillings with tooth-colored alternatives, Dr. Pauley provides meticulous care that protects your long-term dental health. Early treatment keeps cavities small and treatment simple, avoiding the discomfort and expense of root canals or tooth extraction. Contact Pauley Family Dentistry today to schedule your appointment and receive the precise, gentle dental fillings Lincoln, NE patients trust.

FAQs

What types of filling materials are available?

We primarily use tooth-colored composite resin fillings that bond directly to your tooth and can be precisely matched to your natural tooth color. Dr. Pauley will discuss the best material options for your specific situation, considering factors like the size and location of the restoration and your individual needs.

How long does the filling procedure take?

Most filling procedures can be completed in a single appointment, typically taking 30 minutes to an hour, depending on the size and location of the restoration. Dr. Pauley ensures your comfort throughout the procedure and takes the time needed to place each filling with precision and care.

How long do dental fillings typically last?

With proper care and regular dental visits, modern composite fillings can last 7-12 years or longer. The longevity of your filling depends on factors such as the size of the restoration, your bite forces, oral hygiene habits, and regular professional maintenance and monitoring.

Will I experience sensitivity after getting a filling?

Some patients may experience mild sensitivity to temperature or pressure for a few days after filling placement. This is normal and typically resolves as your tooth adjusts to the restoration. Dr. Pauley will provide specific aftercare instructions and address any concerns you may have.

How should I care for my new filling?

Care for filled teeth just like your natural teeth with regular brushing, flossing, and professional cleanings. Avoid chewing on hard objects like ice or using your teeth as tools. Regular dental visits allow Dr. Pauley to monitor your fillings and overall oral health.

When might a filling need to be replaced?

Fillings may need replacement if they become worn, cracked, or develop decay around the edges. Dr. Pauley will monitor your fillings during regular checkups and recommend replacement when necessary to maintain optimal protection and function of your restored teeth.

About Dr. Pauley

Just as Dr. Pauley approaches his hobbies with careful attention to detail and precision, he brings that same dedication to your dental care. Every procedure follows meticulous protocols to ensure optimal results, whether it’s crafting the perfect crown or achieving the ideal shade for your whitening treatment.

We believe in taking the time to do things right—no shortcuts, no rushed appointments. Dr. Pauley’s background as a Lincoln native who understands the community means that you’re not just another patient; you’re a neighbor and friend deserving of exceptional care.

Ready for a Healthier Smile?

Experience the difference precision filling placement can make for your oral health and comfort. Dr. Pauley’s meticulous approach ensures each restoration is carefully crafted to provide optimal function and natural appearance. We’ll work with you to address any concerns and ensure your complete satisfaction with your dental care.

Visit Us

Your opinions are important to us. Whether it is a simple question or a valuable suggestion, we are here 24/7. You can call us by phone or email us directly.